Chapter Twenty-Two: What a Place
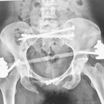
“Good morning Princess Consuela Banana Hammock”, my nurse says, glancing at my white board before flashing me an earnest ‘did I get-that right?’ smile. He presses the button at the side of my bed to lift my head up and passes me a paper cup of water. “I just need to give you your tablets … More Chapter Twenty-Two: What a Place









